Periodontal regeneration
Periodontal regeneration
Upper right side before periodontal regeneration
Upper right side after periodontal regeneration
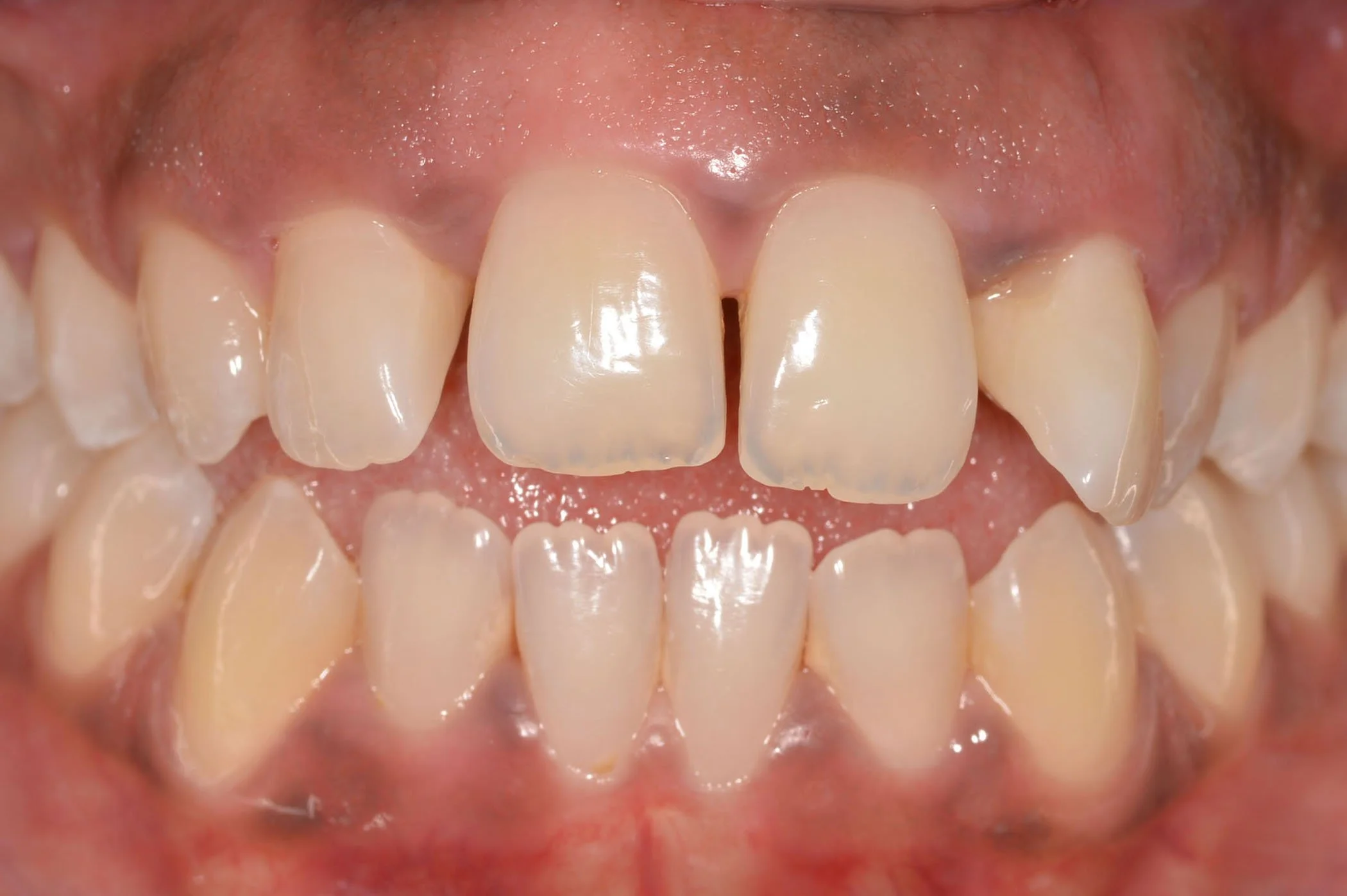
Upper anterior area before periodontal regeneration
Upper anterior area after periodontal regeneration
Upper right side before periodontal regeneration
Upper anterior after periodontal regeneration. Notice the significant dental shift.
Upper and lower left quadrants before periodontal regeneration
Upper and lower left quadrants after periodontal regeneration